治療について(7~13)
7. 嚢胞性疾患
嚢胞(のうほう)とは液状の内容物を含む袋状の病変で、口腔領域には比較的多い疾患です。顎の骨の中に発生するものと、口唇、舌下部など軟組織に発生するものがあります。
(1)歯根嚢胞
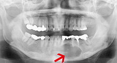
歯根の先に発生した膿の入った袋状の組織は歯根嚢胞と言います。
長期にわたる歯髄(歯の神経)の炎症や壊死(歯髄が腐った状態)などが原因です。嚢胞部の骨は炎症によって溶けて消失しており、根管治療(歯髄の治療)だけでは治癒が困難な状態です。嚢胞の除去と同時に細菌等が付着した根の先を切除することによって、抜歯を行わず歯を残すことを目的とした手術を行います。歯根嚢胞が放置された場合、周りの骨を溶かしながら嚢胞が増大し、隣在歯の障害(歯髄壊死等)、顎骨の膨隆などを生じます。嚢胞の増大はゆっくりで、1~2か月での変化はあまりないと思われますが、1年以上経過すると増大の可能性が高くなります。そのため歯根嚢胞が現在より、さらに増大する前に手術を行うことが必要です。
長期にわたる歯髄(歯の神経)の炎症や壊死(歯髄が腐った状態)などが原因です。嚢胞部の骨は炎症によって溶けて消失しており、根管治療(歯髄の治療)だけでは治癒が困難な状態です。嚢胞の除去と同時に細菌等が付着した根の先を切除することによって、抜歯を行わず歯を残すことを目的とした手術を行います。歯根嚢胞が放置された場合、周りの骨を溶かしながら嚢胞が増大し、隣在歯の障害(歯髄壊死等)、顎骨の膨隆などを生じます。嚢胞の増大はゆっくりで、1~2か月での変化はあまりないと思われますが、1年以上経過すると増大の可能性が高くなります。そのため歯根嚢胞が現在より、さらに増大する前に手術を行うことが必要です。

歯根嚢胞
「イラストでみる口腔外科手術 第2巻」
(P56 図11-64 e~g)
(P56 図11-64 e~g)
(2)顎骨嚢胞
顎の骨の中に生じる液状の内容物を含む袋状の疾患です。多くの場合、埋伏している歯に関連して発生します。発育は緩慢ですが、痛みなどの症状なく増大することが多く、発見された時にはかなり大きくなっている場合もあります。

症例1

症例2
(3)粘液嚢胞
唾液腺でつくられた唾液は通常は口腔内に排出されますが、排出路に閉塞などが生じ、唾液が貯留すると、粘液嚢胞を発生します。小さいものは外来で簡単に摘出することが可能です。

口唇粘液嚢胞

舌下部粘液嚢胞
8. 顎変形症(下顎前突症、下顎後退症、上顎前突症、顔面非対称など)
顎の発育異常で、顔面形態の異常や機能障害を伴うものを顎変形症といいます。生まれつきのもの(先天性)と、生後に生じたもの(後天性)とがあります。
上顎が異常に前突または後退した状態あるいは下顎が異常に前突または後退した状態を認めます。上顎後退症は上顎骨の成長が悪く、上顎が陥凹したようにみえます。口蓋裂の術後やダウン症候群で多くみられます。上顎前突症は咬合時に上の前歯が異常に前方にあります。乳幼児期の指しゃぶりや口呼吸などの悪習癖によって生じることが多いといわれています。下顎前突症は下顎骨の異常な発達により、咬合時に下の前歯が異常に前方にあります。俗に「受け口」ともいい、顔の下半分が長く、横からみると三日月様にみえる場合があります。下顎前突症は日本人に特に多くみられる顎変形症です。
その他、咬合時に上下の前歯にすき間を認める開咬症や、上下顎骨のゆがみによる顔面非対称などの異常があります。開咬症では、口を閉鎖できないため口呼吸となり、口腔乾燥症の原因となったり、咀嚼(そしゃく)や発音にも障害をきたします。
まずX線写真や歯列模型、口腔内写真、顔貌写真によって顎変形症であるかどうかの診断を行います。治療には外科的な顎矯正手術と、その前後に歯科矯正治療が必要です。そのため矯正歯科を紹介し連携して治療を行います。手術は、殆どの場合、口の中の切開のみで行います。異常のある顎骨を骨切りし、正常な位置まで移動させ、移動後は骨切りした部位をプレートやスクリューなどで固定します。入院期間は手術によって異なりますが、9~21日程度となります。
顎変形症の治療は、異常な咬合に伴う顎骨の変形を正常に戻す治療です。異常な顎骨を手術することで咬合の改善が得られ、二次的に審美的な改善も得られることが多いですが、いわゆる美容整形とは本質的に異なるものです。そのため顎変形症治療のための顎矯正手術および歯科矯正治療はともに保険適用となります。
上顎が異常に前突または後退した状態あるいは下顎が異常に前突または後退した状態を認めます。上顎後退症は上顎骨の成長が悪く、上顎が陥凹したようにみえます。口蓋裂の術後やダウン症候群で多くみられます。上顎前突症は咬合時に上の前歯が異常に前方にあります。乳幼児期の指しゃぶりや口呼吸などの悪習癖によって生じることが多いといわれています。下顎前突症は下顎骨の異常な発達により、咬合時に下の前歯が異常に前方にあります。俗に「受け口」ともいい、顔の下半分が長く、横からみると三日月様にみえる場合があります。下顎前突症は日本人に特に多くみられる顎変形症です。
その他、咬合時に上下の前歯にすき間を認める開咬症や、上下顎骨のゆがみによる顔面非対称などの異常があります。開咬症では、口を閉鎖できないため口呼吸となり、口腔乾燥症の原因となったり、咀嚼(そしゃく)や発音にも障害をきたします。
まずX線写真や歯列模型、口腔内写真、顔貌写真によって顎変形症であるかどうかの診断を行います。治療には外科的な顎矯正手術と、その前後に歯科矯正治療が必要です。そのため矯正歯科を紹介し連携して治療を行います。手術は、殆どの場合、口の中の切開のみで行います。異常のある顎骨を骨切りし、正常な位置まで移動させ、移動後は骨切りした部位をプレートやスクリューなどで固定します。入院期間は手術によって異なりますが、9~21日程度となります。
顎変形症の治療は、異常な咬合に伴う顎骨の変形を正常に戻す治療です。異常な顎骨を手術することで咬合の改善が得られ、二次的に審美的な改善も得られることが多いですが、いわゆる美容整形とは本質的に異なるものです。そのため顎変形症治療のための顎矯正手術および歯科矯正治療はともに保険適用となります。

術前口腔内

術後口腔内

術前の側方X線写真

術後の側方X線写真
9. 口唇口蓋裂
胎児がお腹のなかで成長するとき、顔は左右から伸びるいくつかの突起が癒合することによってつくられています。しかし、この癒合がうまくいかないと、その部位に裂け目が残ってしまいます。その結果として、唇が割れた口唇裂や、口蓋が裂けて口腔と鼻腔がつながっている口蓋裂が発生します。これらの異常の発生する頻度は、日本人では約500人の出産に1人の割合です。
審美的な障害や哺乳あるいは摂食障害、また発音障害などがみられます。また手足や耳の形態異常、ヘルニアや心臓の形態異常を合併することもあります。口蓋裂では口腔と鼻腔とが交通しているため鼻咽腔が食物で汚染され、二次的に扁桃炎や中耳炎をおこしやすくなります。
出産直後から成人するまでの長期間にわたる、一連の治療が必要となります。それには口腔外科、矯正歯科、小児歯科、耳鼻咽喉科、小児科、言語治療、一般歯科などによる総合治療が必要です。口蓋裂児ではミルクを上手に飲んだり、顎の正常な発育を促すためのホッツ床という装具(プレート)を生後可及的早期に作成し口腔に装着します。
口唇裂を閉鎖する形成手術の時期は、抵抗力のできる生後3~4か月、体重6kgが目安とされています。一方、口蓋裂では言葉を覚え始める1歳半から2歳ごろに口蓋形成術を行なうのが理想的です。手術後は正しい発音ができるように言語治療を行います。
審美的な障害や哺乳あるいは摂食障害、また発音障害などがみられます。また手足や耳の形態異常、ヘルニアや心臓の形態異常を合併することもあります。口蓋裂では口腔と鼻腔とが交通しているため鼻咽腔が食物で汚染され、二次的に扁桃炎や中耳炎をおこしやすくなります。
出産直後から成人するまでの長期間にわたる、一連の治療が必要となります。それには口腔外科、矯正歯科、小児歯科、耳鼻咽喉科、小児科、言語治療、一般歯科などによる総合治療が必要です。口蓋裂児ではミルクを上手に飲んだり、顎の正常な発育を促すためのホッツ床という装具(プレート)を生後可及的早期に作成し口腔に装着します。
口唇裂を閉鎖する形成手術の時期は、抵抗力のできる生後3~4か月、体重6kgが目安とされています。一方、口蓋裂では言葉を覚え始める1歳半から2歳ごろに口蓋形成術を行なうのが理想的です。手術後は正しい発音ができるように言語治療を行います。
10. 顎関節疾患(顎関節の痛みや雑音、口が開きにくい、口が閉じないなど)
(1)顎関節症
耳の穴の直ぐ前に顎を動かす顎関節があります。この顎関節の痛み・雑音、開口障害、顎を動かす筋肉の痛みなどの症状を生じた疾患を顎関節症といいます。習癖や噛み合わせの異常などにより、顎の異常な運動が繰り返されると顎関節の骨、関節円板(上下顎の骨の間にある軟骨のクッション)、筋肉などに障害を生じます。
単純X線写真やMRI などの検査により診断を行い、治療としては消炎鎮痛薬や筋弛緩薬などの薬物療法、各種のスプリント(コンパクトなマウスピース様のもの)による保存療法を最初に行います。関節円板の位置がずれている時には、徒手的に円板の整位を試みます。これらの治療により症状の改善が得られない時には、関節に注射をして関節腔洗浄などを行います。筋のマッサージや開口訓練等のリハビリを継続的に行うことも治療法の一つです。保存療法が奏効しないものに対しては関節鏡(顎関節用の内視鏡)を用いた手術を行うこともあります。
単純X線写真やMRI などの検査により診断を行い、治療としては消炎鎮痛薬や筋弛緩薬などの薬物療法、各種のスプリント(コンパクトなマウスピース様のもの)による保存療法を最初に行います。関節円板の位置がずれている時には、徒手的に円板の整位を試みます。これらの治療により症状の改善が得られない時には、関節に注射をして関節腔洗浄などを行います。筋のマッサージや開口訓練等のリハビリを継続的に行うことも治療法の一つです。保存療法が奏効しないものに対しては関節鏡(顎関節用の内視鏡)を用いた手術を行うこともあります。
(2)顎関節脱臼
口を過度に開口して口を閉じることができなくなった状態です。下顎の可動範囲を適度に制限している靭帯が異常に引き延ばされます。多くの場合は脱臼を整復して安静を保てば再発することは稀ですが、靭帯が弛緩すると習慣性に顎関節脱臼が生じるようになることもあります。習慣性の顎関節脱臼は手術の適応となることもあります。
11. 唾液腺疾患
唾液腺は口の中に唾液を分泌する臓器です。耳の下にある耳下腺、顎の下にある顎下腺、舌の下にある舌下腺など3種類の大唾液腺と、口唇や頬粘膜など口の中に散在する小唾液腺があります。ほとんどの唾液は大唾液腺によって作られます。唾液腺の病気の頻度は少ないですが、いろいろな疾患があります。唾液の通る管の中に石ができる唾石症やウィルスや細菌が原因となる唾液腺炎など比較的みられる疾患です。また稀ですが腫瘍ができることもあります。
12. 有病者の観血的歯科処置(外科処置)
中東遠総合医療センターでは他科と協力して診療を行うことが可能であるため、(精神科管理が必要な重度の精神疾患を除き)基礎疾患(持病)のあるかたも安心して受診していただけます。簡単な抜歯などの処置であっても基礎疾患のために不安のあるかたは「かかりつけ歯科」にて相談して下さい。処置を御依頼をいただいた場合は、当院にて全身管理のもと抜歯を行うなど必要な後方支援を行います。
13. 障害者の歯科治療
重度の心身障害のため一般の歯科診療所で歯の治療ができない方の場合、 全身麻酔で眠っていただいている間に歯科治療を行います。紹介元である「かかりつけ歯科」の歯科医師に手術室にお越しいただき、当科と連携して全身麻酔下での治療にあたります。
