治療について(1~6)
1. 抜歯(重度のむし歯、親知らず、過剰歯、埋伏歯など)

「イラストでみる口腔外科手術 第2巻」
P29 図11-30・図11-31
一般歯科医院では抜歯が困難な重度のむし歯、親知らず、過剰歯などが対象です。中でも親知らずの抜歯は最も頻度の多い手術となります。抜歯せず放置した場合は親知らず自体や、その隣の歯がむし歯になる場合や感染源となり親知らずの周囲に炎症を生じる場合があります。その他、歯並びが悪くなる可能性や、顎関節症の原因となることがあり、また非常に稀ですが含歯性嚢胞(液状の内容物の入った袋状の病変)や歯原性腫瘍(歯が原因で発生する腫瘍)の原因となる場合があります。
外来で簡単に抜ける場合もありますが、多くは、歯肉を切開し、骨を削って歯を分割して取り出します。埋伏の程度によっては、侵襲を伴いやや恐怖感のある手術で、外来で局所麻酔のみで手術を行うことは困難な場合もあります。その場合は鎮静剤を点滴しながら、患者さまに半分眠っていただいている間に手術を行います(静脈内鎮静法)。この方法では一般的な歯の治療よりもストレスが少なく手術が受けられます。このため一度に4本の親知らず全てを一回の手術で摘出することも可能です。静脈内鎮静法を併用した抜歯手術は1泊2日または2泊3日の入院下で行っています。当科では多くの方が静脈内鎮静法で、抜歯手術を安全かつリラックスして受けられています。
外来で簡単に抜ける場合もありますが、多くは、歯肉を切開し、骨を削って歯を分割して取り出します。埋伏の程度によっては、侵襲を伴いやや恐怖感のある手術で、外来で局所麻酔のみで手術を行うことは困難な場合もあります。その場合は鎮静剤を点滴しながら、患者さまに半分眠っていただいている間に手術を行います(静脈内鎮静法)。この方法では一般的な歯の治療よりもストレスが少なく手術が受けられます。このため一度に4本の親知らず全てを一回の手術で摘出することも可能です。静脈内鎮静法を併用した抜歯手術は1泊2日または2泊3日の入院下で行っています。当科では多くの方が静脈内鎮静法で、抜歯手術を安全かつリラックスして受けられています。
※親知らずを保存しておくことで、将来的に重度のむし歯や破折で抜歯に至った歯の欠損部位へ、自家歯牙移植を行うドナーとして親知らずを利用できる場合があります。しかしながら自家歯牙移植を行った歯は、生着しない可能性があり、また長期の予後は期待しにくくなります。抜歯の適応であるかどうかを患者さまの衛生管理の状況、手術によるリスクなど総合的に評価した上で判断させていただきます。
2. 歯の欠損部位へのインプラント治療(かかりつけ歯科と連携)

インプラント
歯が失われた部位の顎骨に人工歯根(チタン製のスクリュー)を植立して、人工的に歯を再生する治療がインプラント治療です。歯を失った場合の選択肢としては義歯(入れ歯)、ブリッジ(欠損部の隣の歯どうしを「橋渡し」する方法)などもありますが、義歯やブリッジでは、その「支え」となる歯に負担が生じます。その結果、長期的には義歯やブリッジの「支え」となった歯が失われ、欠損範囲の拡大につながる場合があります。残っている歯に負担をかけず歯を失った部位のみの負担でもう一度、歯を人工的に再生できることがインプラント治療の最大の利点です。義歯のように「はめたり、外したり」する必要はなく、ブリッジのように隣の歯を削る必要もありません。食事をする際の感触も元の自分の歯に近い感触で咀嚼を行うことが可能となります。
インプラントで作製した歯を長期にわたり安定して維持するためには、御自身で行う口腔衛生管理・当院へのメンテナンス通院が不可欠です。また手術が必要で費用も高額(自費診療)となるため安易に行う治療ではありません。インプラント治療の適応であるかどうかを慎重に判断するため患者さまの求めていることがインプラント治療によって改善可能かどうかを十分に相談して治療を進めて参ります。
インプラントで作製した歯を長期にわたり安定して維持するためには、御自身で行う口腔衛生管理・当院へのメンテナンス通院が不可欠です。また手術が必要で費用も高額(自費診療)となるため安易に行う治療ではありません。インプラント治療の適応であるかどうかを慎重に判断するため患者さまの求めていることがインプラント治療によって改善可能かどうかを十分に相談して治療を進めて参ります。
【インプラント治療のリスクと副作用】
出血、腫脹、疼痛、青痣、神経麻痺、人工歯やインプラントの脱落・破折、咬合違和感、インプラント周囲炎など
出血、腫脹、疼痛、青痣、神経麻痺、人工歯やインプラントの脱落・破折、咬合違和感、インプラント周囲炎など
【インプラント治療費用】
- この料金表はインプラント治療の自費料金の一覧です。
- 患者さまによって適応となる治療法が異なるため、料金もそれぞれに異なります。
- 詳細な料金の試算は、治療方針が決定した時点で可能となります。
- また術前検査の結果、インプラント治療ができないと診断する場合もあります。
- インプラント治療を希望されていても、必ずしも全ての患者さまにインプラント治療を適用できる訳ではありません。
3. 外傷(歯の脱臼や顎の骨折、口腔内外の軟組織の損傷など)
交通事故や転倒、スポーツなどにより口腔の内外には様々な損傷が生じます。歯の破折や脱臼、顔面皮膚・口唇の損傷、口腔粘膜の損傷、顎の骨折などが生じます。外傷によって損傷を受けた口腔顎顔面のできるだけ早期の機能的、形態的回復を得るために主に手術による治療を行っています。
歯が脱臼して抜け落ちた場合、脱落した歯の状態によっては歯の再植術を行うことが可能です。歯に砂などが付いて汚れている場合は、水で流し洗いした後、市販の牛乳につけるか、飲み込まないように口の中に入れるなど乾燥しないように持って来て下さい。
交通事故や転倒、スポーツによって、「かみ合わせがズレた」、「ものが2重に見える」、「口が開きにくい」などの症状は、顎骨骨折の可能性がありますので口腔外科の受診が必要です。手術では折れた骨片を元の位置に戻し、断端が動かないようにチタン製プレートとスクリューを用いて固定します。
歯が脱臼して抜け落ちた場合、脱落した歯の状態によっては歯の再植術を行うことが可能です。歯に砂などが付いて汚れている場合は、水で流し洗いした後、市販の牛乳につけるか、飲み込まないように口の中に入れるなど乾燥しないように持って来て下さい。
交通事故や転倒、スポーツによって、「かみ合わせがズレた」、「ものが2重に見える」、「口が開きにくい」などの症状は、顎骨骨折の可能性がありますので口腔外科の受診が必要です。手術では折れた骨片を元の位置に戻し、断端が動かないようにチタン製プレートとスクリューを用いて固定します。

歯の脱臼

下顎骨骨折/3次元CT画像
(下顎の正中に
複雑骨折を認める)

術前X線写真

術後X線写真
4. 炎症(歯からの感染による歯肉や顎、顔面、頸部の腫れなど)
むし歯や歯周病、親知らずの炎症を放置すると原因となった細菌がさらに深部に侵入し、歯肉や顎、顔面に炎症症状が生じます。重症例では頸部まで炎症が拡大し呼吸苦を生じて生命に関わることもあります。特に、糖尿病などの基礎疾患を有している場合は進行が非常に早いため早期の治療が大変重要です。
治療は、感染源の除去および抗生剤の投与と安静が中心になります。膿がたまっている場合は切開して膿を出すことがあります。症状が軽度であれば抗菌薬の内服と外来通院のみで改善されますが、重症例では入院下での抗菌薬点滴、全身管理が必要となります。重症度に応じて入院点滴治療、手術治療などを行っています。
治療は、感染源の除去および抗生剤の投与と安静が中心になります。膿がたまっている場合は切開して膿を出すことがあります。症状が軽度であれば抗菌薬の内服と外来通院のみで改善されますが、重症例では入院下での抗菌薬点滴、全身管理が必要となります。重症度に応じて入院点滴治療、手術治療などを行っています。

側下顎蜂窩織炎

顎下部膿瘍

排出された膿
5. 口腔癌(舌癌や歯肉癌など)
口の中にも癌ができます。口腔内の癌は大きくなると食べること、話すことに障害が生じ他の癌と同じように放置すれば生命を脅かすものです。
口腔に生じた癌の治療は、その種類や進行の程度によって、放射線療法、化学療法、手術などを組み合わせて治療を行います。広い範囲に進展している場合は隣接科である耳鼻いんこう科、脳神経外科、形成外科等と共同で治療に当たります。切除した組織の形態と機能を回復するための再建術が進歩したことにより、より広い範囲での確実な切除が可能となったため、術後の予後も改善され、術後早期に社会復帰できる場合も多くなっています。
胃癌や肺癌、大腸癌などと違い口腔癌は、直接、目で見て確認することができるため患者さま自身でも早期発見が可能です。早期に発見された癌は予後も良好で、切除する範囲など治療の侵襲も比較的少なく済みます。癌の中には口内炎や他の良性腫瘍と似た像を示すものが多くあり注意が必要です。
なかなか治らない「口内炎」や「できもの」がある場合は早めに受診してください。
口腔に生じた癌の治療は、その種類や進行の程度によって、放射線療法、化学療法、手術などを組み合わせて治療を行います。広い範囲に進展している場合は隣接科である耳鼻いんこう科、脳神経外科、形成外科等と共同で治療に当たります。切除した組織の形態と機能を回復するための再建術が進歩したことにより、より広い範囲での確実な切除が可能となったため、術後の予後も改善され、術後早期に社会復帰できる場合も多くなっています。
胃癌や肺癌、大腸癌などと違い口腔癌は、直接、目で見て確認することができるため患者さま自身でも早期発見が可能です。早期に発見された癌は予後も良好で、切除する範囲など治療の侵襲も比較的少なく済みます。癌の中には口内炎や他の良性腫瘍と似た像を示すものが多くあり注意が必要です。
なかなか治らない「口内炎」や「できもの」がある場合は早めに受診してください。

舌癌

舌癌

上顎歯肉癌

下顎歯肉癌

頬粘膜癌
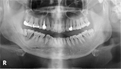
6. 口腔の良性腫瘍
顎骨や口腔領域の軟組織内に良性の腫瘍が生じる場合があります。ゆっくりと増大し、再発・転移などは稀な腫瘍ですが、放置されると食べること、話すことに障害が生じ、顔面の形態を変形させます。術後の形態や機能をできるだけ正常に近い状態で維持するためには、やはり早期発見・早期治療が望まれます。
「かかりつけ歯科」で撮影したレントゲンにより発見されることも多く、日常から「かかりつけ歯科」への定期健診・定期通院を行い管理されることが大切です。
「かかりつけ歯科」で撮影したレントゲンにより発見されることも多く、日常から「かかりつけ歯科」への定期健診・定期通院を行い管理されることが大切です。

舌腫瘍

下顎骨腫瘍
